認知症
人生100年時代。いつまでも自分らしく生き生きと!
人生100年時代と言われるなか、体の健康もさることながら、脳の健康が注目されるようになってきました。じつは働き盛りの世代から少しずつ脳の機能の衰えが始まっているとの報告もあります。脳の健康度(ブレインパフォーマンス)という言葉はご存じでしょうか。自分らしく長生きするためには50代頃から日常生活を見直し、脳の健康にも気を配る必要があるのです。
「もの忘れ」から認知症へ
脳は、人間の活動をほとんどコントロールしている司令塔です。脳が働かなくなると精神活動も身体活動もスムーズに運ばなくなります。「最近もの忘れがひどくなったな」と自覚しても「それを年齢のせいだろう」と簡単に結論づけてはいませんか?
それは日常生活に支障がなくても「ブレインパフォーマンスが低下している」状態や、認知症の前段階である「軽度認知障害(Mild Cognitive Impairment;MCI)」かもしれません。MCIの半分の人が約5年の経過で認知症へ進行すると言われております。厚生労働省は現在日本にはMCIの患者さんが862万人存在すると発表しており、これは65歳以上の4人に1人が認知症とその“予備軍”となる計算で、決して珍しい病気ではないのです。
早期発見の重要性
「認知症やMCI」と診断された患者さんの中には慢性硬膜下血腫、正常圧水頭症、脳腫瘍、脳梗塞など脳神経外科にて治療が可能な疾患が隠れている可能性があります。こうした背景から脳神経外科医が「もの忘れ」を自覚している患者さんに科学的に検査を行い的確な診断をつけ、少しでも患者さんおよびそのご家族の苦痛を改善させる可能性が出来ると考え、脳神経外科専門医による「物忘れ外来」を設けています。もの忘れを自覚している患者さんには様々な言語、思考の障害がみられることもあります。これらは高次脳障害と呼ばれるもので、脳腫瘍の手術後、頭部外傷の後遺症、脳梗塞、脳出血、くも膜下出血などの後遺症などでもみられることもあり、こういった患者さんの「もの忘れ」の評価、診断も行っております。
認知症の原因
認知症には大きく分けて4つの病型が知られています。
- アルツハイマー病:認知症の多くの部分を占めている疾患で65歳以上に多い疾患です。聞いたこと、言ったことをすぐ忘れ、同じことを何度も繰り返して言う、計算が出来なくなる、などの症状が主になります。MRIなどで両側側頭葉の萎縮がみられます。最近、米国で原因となるアミロイドβの除去薬(aducanumab)が臨床研究を経て治療が開始しております。しかし、適応となる患者様は臨床研究に参加された方のみで、日本で一般的に広まるのにはハードルが高く、まだ先のようです。
- レビー小体型認知症:認知機能の低下に加え、幻視、手の震え、歩行障害、前かがみの姿勢をとる、などの症状が特徴的です。脳の萎縮は比較的軽度です。
- 前頭側頭型認知症:最初のうちはもの忘れはあまり見られませんが、行動のパターン化(決まった時刻に同じことをする、決まった食べ物を毎日食べるなど)がみられます。
- 脳血管性認知症:もの忘れに加え、小刻み歩行、動作緩慢、排尿障害などがみられます。レビー小体型認知症と似ていますが、MRIで脳の表面の萎縮、白質(深い部分)に斑点のように脳梗塞がみられます。動脈硬化と血圧の変動が原因といわれ、脳梗塞に準じて内服治療が行われます。アルツハイマー病についで多い認知症の原因疾患です。
その他稀な症例もありますが、多くはこの4型に分類されます。また脳外科医による治療で改善する疾患もあります。
ここでもの忘れ外来の診察の流れについて説明致します。
- 受診を希望される患者さんは診察予約をお取りください。その際にかかりつけ医からの紹介状を持参してください。なるべく一人での受診ではなくご家族の方とご来院下さい。
- 診察前に問診票をご記入ください。
(おうちで印刷可能な方はご自宅でご記入いただいてかまいません。ダウンロードはこちら) - 診察室ではまず問診を行い、クイズ形式による簡単なテストを行います。このクイズ形式の検査はミニ・メンタル・ステイト検査(MMSE)と呼ばれています。
- 次に行う検査はCT, MRIなどです。これにより脳の形の変化を検査します。この段階で先程説明した慢性硬膜下血腫、正常圧水頭症、脳腫瘍などの外科的治療を考慮しなければならない疾患が発見されることもあります。これらの疾患は治療により物忘れが警戒することが多く、治療可能な認知症(treatable dementia)と言われております。
アルツハイマー病のMRIを示します。両側の側頭葉の脳のしわが目立つ(萎縮)ことがお分かりになると思います。
- 正常MRI

- アルツハイマー病のMRI

上の正常のMRIに比べ脳のしわ目立ち、側頭葉の海馬も委縮している
- その他に脳の血流低下部分やレビー小体型認知症を診断する上で重要なダットスキャン、MIBG心筋シンチグラフィーなどのSPECT(スペクト)検査、腰から脳脊髄液を採取する髄液検査、脳波などを組み合わせることもあります。
- 診断がついた時点で薬物の選択、ご家族へのアドバイスを行っていきます。診断、方針が決まったあとはかかりつけ医との併診とし、その後かかりつけ医に治療の継続をお願いしています。
- お身内の方で冒頭に掲げたような症状を呈していらっしゃる方がいる、もしくは自分で悩んでいる方はご相談下さい。一人ひとりの患者様に十分時間をかけて診察し、問題解決に努めます。また必要に応じて、脳神経内科医や精神科医をご紹介いたします。
- レスパイトケアやBPSD(周辺症状)などの治療目的の入院は当院では行っておりませんが、入院が必要と判断された場合は近隣の専門病院をご紹介いたしますので、お困りの方は外来受診にてご相談ください。
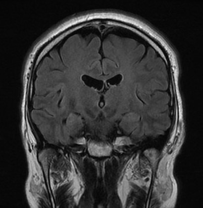
特発性正常圧水頭症 (iNPH)
原因は特定できないにもかかわらず脳室の拡大が認められ、認知症・歩行障害・尿失禁の症状が進行していく病気です。この病気は脳神経外科手術(髄液シャント術)によって症状の改善を得ることができます。
正常圧水頭症の検査は?
画像診断と髄液タップテストの2つを組み合わせて診断を行います。

髄液タップテスト
腰椎レベルのくも膜下腔から過剰に貯まっている脳脊髄液を少量排出させることにより症状が改善するかを診断し、脳外科手術(髄液シャント術)の必要性を調べます。1回のタップテストで症状が一時的に改善することもあれば、複数回のタップテストの後に症状が改善することもあります。よって当院では原則2泊3日の入院で行います。
外科治療(髄液シャント術)
髄液シャント術はシャントバルブ・チューブを皮下に留置し、過剰に貯まった脳脊髄液を他の体内に流すことによって症状を改善させる手術です。手術時間は1時間程度で、7-10日の入院を必要とします。
術後は外来で定期的に通院が必要です。合併症が出ていないか、シャントの調整や不具合が無いかを確認します。

髄液シャント術の合併症は?
髄液シャント術は他の脳神経外科手術と比較して簡単で安全な手術です。とても長い歴史があり、現在では植え込みデバイスの改良とともに合併症も少なくなってきております。
しかしながら、半永久的に人工物(自分の体の組織ではない物)を植え込むため、ある程度の合併症のリスクがあります。
1.シャント感染について
手術創の感染やそれに伴う、髄膜炎・腹膜炎は抗生剤の点滴を行います。術後はシャント自体に感染が及ぶと抜去の必要がある場合もあります。また糖尿病がある方は一般的に感染に脆弱ですので注意が必要です。
2.シャント閉塞について
シャントの管が詰まることです。これは術後から数年たって、複数回起こるケースもあります。症状が再燃した場合は閉塞を疑います。原因を調べ、カテーテル(管)の入れかえが必要な場合があります。
3.硬膜下血腫について
過剰に髄液が排除されると、脳表の血管が引っ張られ出血を起こすと硬膜下血腫となります。シャントデバイスの圧調整のみで改善する場合もありますが、出血量が多い場合は血腫除去のための手術が必要です。(慢性硬膜下血腫の詳細はこちら)転倒して頭蓋内出血を合併することもありますので注意が必要です。
そのほか、手術部位による合併症などありますので、詳しくは担当医に質問してください。
※シャントデバイスはMRI3Tまで撮影可能です。ただし、圧確認が必要なものもございます。シャント術後、MRI撮影時は担当医までご連絡ください。
また最近は、正常圧水頭症とアルツハイマー型認知症の合併やそのほかの認知症との合併例が注目されておりますので、術前の的確な診断と術後も注意深く経過を追う必要があります。かかりつけの先生方で、診断にお悩みの場合もご相談ください。
担当医:菊池医師
外来日:火曜AM・水曜AM(物忘れ外来)










