脳腫瘍
神経膠腫
神経膠腫(グリオーマ)は、原発性(脳から発生した)脳腫瘍の一つです。原発性脳腫瘍では、最も多い腫瘍です。神経細胞を支えている神経膠細胞(グリア)から発生する腫瘍で、神経線維に沿って進行します。
原因
一部は遺伝子が関与していることが分かっていますが、多くは原因なく発症します。
症状
腫瘍が脳内にあることで周囲を圧迫し、頭痛、嘔吐などの頭蓋内圧亢進症の症状と、腫瘍が脳内の機能領野にあることでる症状(麻痺、言語障害、視野障害)、そして腫瘍が原因によっておこるてんかん発作です。
診断
画像検査で行われます。CT、MRI、そして造影検査をすることで病変の細かい評価を行います。また、メチオニンPET(ペット)にて質的診断(悪性度)をすることも可能です。
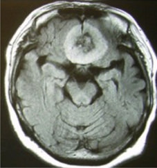
神経膠芽腫のMRI
白くうつっているところが腫瘍ですが、その周囲にも腫瘍細胞が染み出すように増殖しています。
メチオニンPET
黄色から赤色にうつっているところが、特に悪性のところを示しています。

分類
神経膠腫には、さまざまな分類があります。以前は低悪性度、悪性などと言っておりましたが、2021年にWHOの脳腫瘍病理分類が出され病理診断に加え、遺伝子診断も加味されて分類されるようになりました。当科では、脳腫瘍病理で経験豊富な渋谷誠教授(東京医科大学八王子医療センター検査科教授)に全例診断をいただいております。また必要に応じ遺伝子検査も行っております。
治療
治療は、外科(手術治療)で病理診断を行い、悪性であった場合には、症状を悪化させない範囲で最大限の摘出をすることです。神経膠芽腫のような悪性脳腫瘍の場合には、その後の放射線、化学療法が必須になります。現時点でエビデンスのある治療は、Stuppレジメンと呼ばれる、放射線治療(60グレイ)にテモゾロミドを組み合わせるものです。その後外来通院にてテモゾロミドを投与します。
手術時に、摘出腔にギリアデルというBUNUの薬剤を留置することもあります。

初発神経膠芽腫には、電場腫瘍治療(オプチューン)も適応があります。これは、頭皮に電極を貼り、低周波の交流電場を持続的に発生させて脳腫瘍細胞の分裂を阻害する治療法です。

転移性脳腫瘍
他の部位の癌が脳に転移するものです。症状は、神経膠腫で記載しましたが、同じ頭蓋内圧亢進症状、神経脱落症状、そしててんかん発作です。
多くの患者さまは、癌の治療歴があることで、画像診断と組み合わせることで難しくはないのですが、まれに転移してきた脳腫瘍が、さきに見つかることがあります。その場合には全身の癌の探索を、行い原因となるがんを探ります。
転移として、多い臓器として、肺がん、乳がん、大腸がんなどの順となっています。
治療としては、3㎝以下の病変は、ガンマナイフ治療、3㎝以上の場合には、手術で最大限摘出を行い、その後残存腫瘍にガンマナイフ治療を行っております。多発転移の場合には、全脳照射を検討することもあります。
転移性脳腫瘍のMRI
右・左の写真も肺がんからの転移になります。
ガンマナイフ治療は、以下の施設にお願いしております。
- 東京女子医科大学病院(新宿区)
- 東京ガンマユニットセンター(中央区)
- さいたまガンマナイフセンター(さいたま市)
髄膜腫
原因
発生原因は分かっていません。女性に多く男性のおよそ倍です。女性特有の乳がんや子宮筋腫と合併する場合もあることからホルモンが関係すると考えられています。小児にはきわめてめずらしい腫瘍です。また、放射線治療を受けた方の中で、後に髄膜腫が発生することも知られています。また、髄膜腫などいろいろな腫瘍が合併する神経線維腫症という病気があります。これは、22番染色体の変異が原因と考えられ、髄膜腫の発生にも関係していると考えられています。
発育様式と症状
腫瘍のほとんどは、脳を包む硬膜から発生し(正確にはくも膜に存在する細胞)、脳や神経を圧迫して症状を出すことになります。症状や手術法が異なるために、発生する部位によって分類されます。例えば、視神経のそばの硬膜(トルコ鞍結節部)から発生する髄膜腫は、視神経を圧迫するために症状が出やすく、小さいうちに発見されます。一方、臭いの神経のそばの硬膜(嗅窩部)では、自覚的には症状として顕在化しないため、相当大きくなってから発見されます。痙攣発作は症状として起こりやすいものです。骨の外にでてきて瘤のようになる場合もあります。 CTやMRI検査で比較的簡単に診断は可能です。造影剤を使用することでより確実に診断されます。腫瘍は、基本的には脳の外の硬膜動脈から栄養され、脳の外の硬膜静脈に流れます。小さいうちは腫瘍と脳との間に、くも膜が存在します。だんだん大きくなると、腫瘍の静脈は脳の静脈に流れて交通したり、脳の動脈から栄養されたりするようになり、くも膜を破って脳に浸潤していく場合もあります。こうなると周囲の脳浮腫を合併して症状が出やすくなります。
症状
脳神経症状(麻痺、嗅覚脱失・視力障害・複視・顔面の知覚障害・顔面神経麻痺・聴力障害・嚥下障害など)頭痛、てんかん発作、めまい・ふらつき、精神症状・認知症状などです。
検査
- トラクトグラフィー:腫瘍は錐体路(運動路)に接しています。
- CT(石灰化や骨の変化をみます)
- MRI(腫瘍の硬さや形、悪性度などが分かります。手術中触ってはいけない神経や腫瘍の部位によっては錐体路を示すトラクトグラフィーやよりくわしく神経の走行をみるCISSを行います)
- 造影CISS画像(腫瘍が視神経を圧迫している所見を認めます(矢印))
- 脳血管撮影 (血管に富む腫瘍の場合、栄養する動脈をみます)
部位による分類
髄膜腫は頭蓋内の発生する部位によって分類されます。症状・治療方法が異なり、部位による特徴があるためです。見つかる髄膜腫の約半分は最大径2cm以下の小さなものです。4cmを超えると手術の難易度は上がります。大きいと脳を圧迫し周囲に脳浮腫を起こすことが多くなります。小さくても脳神経のある頭蓋底にできると症状が出やすくなります。前頭葉や側脳室に発生する腫瘍は、大きくならないと症状がでないために、見つかった時に大きくなっているのが特徴です。
・円蓋部 convexity
けいれん発作、手足のしびれや麻痺で気が付くことが多い髄膜腫です。頻度は最も多く、全体の4分の1は円蓋部です。手術の難易度は高くありませんが、大きくて、手足を動かす、あるいは言葉の中枢に接する部位は、手術によって症状が悪化する可能性があります。

・傍矢状洞 parasagittal
円蓋部髄膜腫と同様の症状です。前頭、頭頂、後頭部の正中を通る上矢状静脈洞に接して発生する髄膜腫です。静脈の通り道の静脈洞に腫瘍が入っていることが多く、一般的には静脈洞内腫瘍は残します。その後大きくなるようであればガンマナイフをかけます。

・大脳鎌 falx
円蓋部髄膜腫と同様の症状です。下肢の症状が強くでるのが特徴です。比較的多い髄膜腫です。脳の表面にはないため、表面の静脈をうまく残して摘出する必要があります。手術難易度は少し上がります。

・小脳テント tent
小脳テントという、大脳と小脳の間にある硬膜から発生します。発生する部位によって症状、手術難易度が変わります。

・脳室 ventricle
症状が出にくい部位のため、症状がでた場合には相当大きくなっているのが特徴です。摘出するためには、脳を切開しなくてはなりません。もっとも多いのは側脳室三角部にあるものです。

・シルビウス裂 Sylvian fissure
極めて珍しい腫瘍です。小児に多いとされています。

・視神経鞘 optic nerve sheath (矢印)
きわめて珍しい腫瘍です。症状がすでに強く大きなものは除いて、唯一外科手術が第一選択とならず、ガンマナイフなどの放射線治療が第一選択となる髄膜腫です。手術によって視力がなくなる可能性が高いためです。

・嗅窩 olfactory groove
前頭葉にあるため、大きくなるまで症状がでない髄膜腫です。匂いがわからない、眼が見にくいなどの症状がでることもあります。また、精神症状を示して精神病と間違われることもあります。

・鞍結節 tuberculum sellae
外側の視野が見にくいという症状で発見されることが多く、腫瘍は視神経管という視神経の通る孔に入る傾向があります。視神経との剥離ができず全摘出ができないこともあります。再発を繰り返すと盲になってしまいます。

・蝶形骨縁 sphenoid ridge
前頭葉と側頭葉の下面を分ける蝶形骨縁に発生したものの総称です。内側に発生したものは内側型(前床突起型)と呼び、視神経や眼を動かす神経、内頚動脈など重要な構造物を含むため、手術難易度が高い腫瘍です。

・錐体後面 posterior petrous
小脳橋角部とも呼びます。顔を動かす神経、顔の知覚の神経、聴力の神経のそばであるため、これらの症状がでますが、大きくなるまで気が付かないこともあります。手術でこれらの症状が悪化する可能性があります。脳神経があるため、摘出の難しい腫瘍のひとつです。

・錐体斜台 petroclival
脳神経の症状や頭痛、ふらつき、歩行障害で発症します。最も手術の難しい部位と言えます。症状が軽度の場合、大きくても経過観察して、さらに大きくなる場合に治療を選択することもあります。全摘出は困難で、特に硬い場合は神経や血管を巻き込んでいるため極めて摘出困難です。昔は全摘出を目指しましたが、後遺症が大きいため、今では、症状が悪化しないよう、脳神経の通り道である海綿静脈洞部は残して摘出し、残った腫瘍が大きくなるようであればガンマナイフを行うのが一般的な治療方針です。

・大槽 foramen magnum
通常のCT撮影から外れることが多いため、診断が難しい髄膜腫です。典型的ではないため、症状からも診断がつけにくく、誤診が繰り返され、発見されたときは手遅れという場合もあります。症状は四肢のしびれと麻痺です。

・多発性 multiple
頭蓋内に多数の髄膜腫ができる場合を言います。両側の前庭神経シュワン細胞腫と一緒にできる場合は、遺伝的な病気です(神経線維腫症タイプ2)。22番染色体にある癌抑制遺伝子の不活化が原因とされています。症状が出たり、大きくなるようであれば、その部位の腫瘍を手術あるいはガンマナイフで治療します。

治療
開頭よる手術射線治療(ガンマナイフ)があります。悪性のものでは分割照射の放射線治療を行うこともあります。残念ながら薬で効果のあるものはありません。顕微鏡手術でできる限り摘出するというのが治療の基本です。しかし、神経や静脈、脳にくっ付いていて、全摘出すると症状が悪化するおそれがある場合は、状況に応じて腫瘍を意図的に残す場合もあります。腫瘍は灰赤色で、大小の結節を有し、硬さはいろいろです。硬い腫瘍の手術は難しくなります。骨に浸潤している場合もできる限り摘出し、骨に穴が開けば、薄いチタンの代用骨で覆ってきます。また、血管が豊富な腫瘍で、手術中の大量の出血が予想される場合には、手術に先立ってカテーテルによる塞栓術を行います。この治療ができる場合は、手術は容易になり出血も少なくてすみます。ただし、塞栓術後に脳浮腫が強くなることがあるため注意が必要です。
下垂体腫瘍
下垂体とはどのようなことをしているのか、簡単に説明します。間脳と下垂体は脳の一部ですが、伴にホルモンを出して、身体の機能を維持するところです。ホルモンを出す臓器は、甲状腺、副腎、性腺等がありますが、間脳と下垂体はホルモンを出す臓器としては、最も高位に位置しており、これらのホルモンを出す臓器全ての機能をコントロールしています。神経の中枢は脳であることは周知されていますが、間脳と下垂体はホルモンの中枢であるといえます。
次に、間脳と下垂体が障害されるとどうなるか考えてみましょう。間脳と下垂体は伴にホルモンを出しているので、ホルモンが出過ぎた場合と、低下もしくは出なくなった場合とで、症状が変わってきます。厚生労働省のホームページでは、間脳下垂体機能障害を以下の8つに分類しています。プロラクチン分泌異常症、ゴナドトロピン分泌異常症、抗利尿ホルモン分泌異常症、下垂体機能低下症、クッシング病、先端巨大症、下垂体性甲状腺刺激ホルモン分泌異常症の8つです。ここで、各疾患について特徴的な症状、治療について少し述べてみます。
プロラクチン分泌異常症
視床下部という間脳の一部に作用する薬物やプロラクチン産生腫瘍により、高プロラクチン血症になると、女性では生理不順や生理がなくなる、不妊、妊娠出産してないのに乳汁分泌がみられます。男性では性欲低下やインポテンスが特徴的です。低下する場合は、プロラクチンが単独の低下ではなく、全ての下垂体ホルモン低下の一症状となります。治療は、薬物性の場合は、原因薬物の中止することです。腫瘍の場合は、ドパミン作動薬(カベルゴリン)という薬を週に1〜2回内服が一般的です。
ゴナドトロピン分泌異常症
ゴナドトロピンとは、性腺刺激ホルモンのことで、黄体形成ホルモンと卵胞刺激ホルモンの2種類があります。出過ぎる場合は、ほぼ腫瘍によると考えられます。小児では、性早熟を来します。閉経前の女性では、生理不順、無月経、乳汁分泌で見つかることがありますが、女性では40〜50歳台に多いといこともあり、更年期障害と思って気付かないこともあります。男女比では、男性の方に多いのですが、性欲低下、インポテンス、乳腺腫大、乳汁漏出、不妊などが特徴的です。治療は手術が第1選択となります。
抗利尿ホルモン分泌異常症
抗利尿ホルモンは、視床下部で作られ、下垂体後葉から分泌されます。このホルモンは、腎臓に作用して尿量を調節しています。よって、出過ぎると、身体の水分が過剰になり、血液が薄まってしまうことになります。低下もしくは出なくなった場合、中枢性尿崩症と言います。尿量が増加するので、何回もおしっこに行くことになります。すると、身体の水分量が低下するので、のどが渇き、水をがぶがぶ飲みます。原因は、脳腫瘍、外傷、脳血管障害、下垂体の炎症などが、原因で尿崩症を起こすと言われていますが、原因不明の場合もあります。治療は、出過ぎた場合は、抗利尿ホルモンを補充することになります。
クッシング病
副腎皮質刺激ホルモン産生腫瘍により、副腎皮質刺激ホルモンが出過ぎた場合に起こる病態をクッシング病と言います。腹部が肥満して、手足は太らない中心性肥満、顔が満月のように丸くなる満月様顔貌、頸の付け根に脂肪が付いた水牛様脂肪沈着、にきび、多毛、筋力低下、生理不順でみつかることや、精神障害でみつかることもあります。治療は、手術が第1ですが、放射線治療も行われます。
先端巨大症
殆どが、下垂体の成長ホルモン産生腫瘍が原因起こります。まれに下垂体以外の成長ホルモン産生腫瘍により起こります。症状は、特徴的で、成長ホルモンの過剰により、手足が太くなり指輪や靴のサイズが合わなくなります。容貌も鼻、唇が大きくなり、顎が出っ張ってきます。舌も大きくなる巨大舌となり、睡眠時無呼吸症候群がみられることもあります。これの変化は、徐々に進行するので、家族や本人すら気付かず、加齢による変化と思ってしますこともあるくらいです。閉経前の女性では、当然、生理不順もみられます。その他に、糖尿病や高血圧の合併率も高くなります。また、腫瘍や癌の合併率も高くなります。このため、治療ないでいると生命予後が悪くなります。他の下垂体腫瘍と比べて放っておくと、大変なことになるということです。治療は、日本では、手術が第1選択となります。その他には、薬物療法や放射線治療もあります。
下垂体性甲状腺刺激ホルモン分泌異常症
甲状腺刺激ホルモンが出過ぎる場合の原因は、下垂体性甲状腺刺激ホルモン産生腫瘍が多いと言われています。この腫瘍は全下垂体腫瘍中、以前は1%以下であると言われていましたが、最近のデータでは1〜2%を占めるようになってきました。それは、症状が殆どない症例からバセドウ病と同じような症状を呈する症例まで幅があること、バセドウ病と診断されてしまい、下垂体腫瘍が見逃されていることもあるようです。反対に、甲状腺刺激ホルモンが低下あるいは出なくなると、無症状から甲状腺機能低下症と同じような症状を示すものまでやはり幅があります。治療は、腫瘍がある場合は、やはり手術が第1選択です。反対に、ホルモンが低下ないし出ない場合は、甲状腺ホルモンを補充することになります。
また、下垂体近傍には視神経もあり、この付近にできる腫瘍としては、下垂体腺腫の他に、頭蓋咽頭腫、胚細胞腫、ラトケ嚢胞、神経膠腫、髄膜腫、類上皮腫、上皮腫、脊索腫、奇形種等があります。視神経は眼と脳とを繋ぐ神経です。この神経が圧迫されると、視力障害、視野障害を起こします。よって、ホルモンに異常がみられなくても、視力・視野障害の原因を調べてみると、下垂体近傍に腫瘍がみつかることもあります。これらの腫瘍が視神経を圧迫し、視力・視野障害を起こしている場合、多くの場合、外科的治療(手術)が必要になります。診断は、症状、血液検査、ホルモン値測定の他、レントゲン、CT、MRI等による画像診断を組み合わせて行います。これらは、殆ど全てが外来でできる検査です。
それでは、どのような症状がある場合に、外来受診をしていただくのがよいかというと、次のようになります。視力・視野障害が見られる場合、顔貌の変化(顎やおでこが出っ張る)と手足が太くなる、手足が細い割に、顔・体幹が太る、バセドウ病と診断されているが、治療が上手くいかないか不安がある場合、尿量のコントロールが付かず、おしっこが大量に出て、のどが渇き水をがぶがぶ飲んでしまうような場合、以上は男女に関係なく見られる症状です。次に、女性では、生理不順、無月経、不妊、妊娠・出産してないのに乳汁分泌がある。男性では、性欲低下、インポテンスで、泌尿器科を受診したが、原因がよく分からない場合です。何か思い当たるような症状があれば、外来に受診して下さい。
下垂体機能低下症
何らかの原因で、下垂体ホルモンが低下あるいは出なくなった場合に起こります。下垂体腫瘍、頭蓋咽頭腫、胚細胞腫瘍などの腫瘍性疾患が半分以上を占めています。その他は、シーハン症候群、自己免疫性下垂体炎、外傷、術後にもみられますが、原因不明のものもあります。治療は、不足しているホルモンを補充することにより寛解状態となります。
次に代表的な3疾患(下垂体腺腫、頭蓋咽頭腫、ラトケ嚢胞)について解説します。

画像の白く見える部分は正常下垂体で、造影剤で染まっています。やや黒くみえる部分が下垂体腺腫(成長ホルモン産生腫瘍)です。一般に脳腫瘍は造影剤でよく染まりますが、下垂体腫瘍は正常下垂体よりも染まりが悪いのが特徴です。症状としては、小児期では巨人症、成人では末端肥大症となります。治療 は、手術が第 1 選択です。この程度の大きさの腫瘍は微小腺腫であるので、鼻孔経由で顕微鏡や内視鏡を使用して、腫瘍部分のみを摘出することが可能です。
頭蓋咽頭腫 (MRI画像)正常下垂体は、下方に圧迫されています。腫瘍は中がやや黒く周囲がやや白く みえます。白矢印は第3脳室で、腫瘍は脳の中にめり込んでいるのが分かります。こうなると、鼻の穴からだけでは、腫瘍を取りきることができないので、 前頭部を開頭して腫瘍摘出することが必要になります。ここまで腫瘍が大きくなると、開頭による腫瘍摘出が必要になります。
頭蓋咽頭腫の特徴
約7割がMRI画像のように、腫瘍が大きくなってからみつかります。 小児期に見つかることが多いですが、成人になってからも発症するので全年齢層に観られる腫瘍です。
症状
・視神経圧迫による症状
これが一番多い症状で、両耳側半盲といって、視野の外側が見えにくくなります。
ただし、MRI画像のように、腫瘍が左右非対称に大きくなるので、視野障害も不規則になります。
・下垂体圧迫による症状
小児期に多い症状で、下垂体全体の機能が低下するので、汎下垂体機能低下症という症状を起こしてきます。二次性徴がみられず、身長も伸びず下垂体性小人症となります。 成人では、疲れやすい、低血圧、無月経、脱毛、 薄く青白い皮膚、インポテンツなどの症状があります。
・視床下部圧迫による症状
尿崩症といって、薄い色の尿が大量にでるので、大量の水を欲しがるようになり、いわゆる多飲多尿という症状がみられます。傾眠、低体温、電解 質異常などの症状も視床下部の症状です。
成人では、精神症状や性格異常 のため精神疾患と間違われることがあります。
・第3脳室圧迫症状
第3脳室を圧迫すると、水頭症や頭蓋内圧亢進症状がみられます。お示ししているMRI画像でも水頭症を起こしています。治療手術が第1選択となります。
手術でできる限り腫瘍を摘出します。腫瘍が小さければ、全摘出が可能ですが、大きくなって脳と癒着すると、全摘出は困難と なります。大きい腫瘍に対して無理をして全摘出を行って後遺症が残り、その後、辛い人生を送らなくてはならないこともあります。初回手術では、無理をせず、症状を改善できる程度の摘出に留めて、その後、外来で経過観察を行うこともあります。
再び大きくなった時、再手術か放射線治療を行います。
治療
手術が第1選択となります。手術でできる限り腫瘍を摘出します。腫瘍が小さければ、全摘出が可能ですが、大きくなって脳と癒着すると、全摘出は困難となります。大きい腫瘍に対して無理をして全摘出を行って後遺症が残り、その後、辛い人生を送らなくてはならないこともあります。初回手術では、無理をせず、症状を改善できる程度の摘出に留めて、その後、外来で経過観察を行う こともあります。再び大きくなった時、再手術か放射線治療を行います。
ラトケ嚢胞 (MRI 画像)ラトケ嚢胞とは、頭蓋咽頭腫とは異なり非腫瘍性の嚢胞で、症状を出すことは稀ですが、嚢胞が大きくなって下垂体や視神経を圧迫すると症状を出します。最近は、頭痛精査などでMRIを撮ることも多くなったため、偶然みつかることもあります。画像の様に黒く見える部分がラトケ嚢胞です。嚢胞に出血したり、 貯留物が溜まると MRIの見え方がいろいろと変わります。手術は、鼻の穴を経由して、顕微鏡や内視鏡を用いて行います。無理に嚢胞を摘出しなくても、嚢胞の膜を破り、内容液を吸引するだけで症状がよくなります。手術で嚢胞の細胞すべて摘出することは難しく、無理をすると下垂体機能不全をおこすこともあります。症状がない場合は、手術をすることは推奨されません。
経鼻的下垂体腫瘍摘出術
下の図は、神経内視鏡による下垂体腫瘍摘出術の方法を簡単に示しました。下垂体腫瘍は鼻孔から内視鏡を入れて蝶形骨洞という副鼻腔を経由すると、開頭しなくても、比較的容易に下垂体に到達することができます。これまでは、顕微鏡を使用して手術をおこなってきましたが、最近は、内視鏡 下に手術を行うことが多くなってきました。しかも、比較的大きな腫瘍で、下垂体の収まっているトルコ鞍外に腫瘍が進展していても、経鼻的手術で腫瘍を摘出することが可能です。一般的に脳神経外科手術というと、開頭して脳に侵襲が加わることを心配されますが、下垂体手術は鼻から行うと、脳に全く触れることなく手術ができます。この手術方法は、この手術法を普及させた脳神経外科医ハーディの名を取って今でもハーディの手術と呼ばれています。手術の際には、耳鼻咽喉科の専門医とともに鼻の機能的なことも考慮に合同で手術を行っています。

悪性リンパ腫
社会の高齢化とともに増えております。特に脳由来の悪性リンパ腫は、中枢神経原発リンパ腫(PCNSL)と呼ばれ、高齢者に多い特徴です。
症状は、急速に進行する認知機能低下や、麻痺などの脱落症状で受診されます。
腫瘍は通常、深部にあることが多く、症状の悪化なく組織を摘出できる場合には開頭術、症状悪化する可能性がある場合には、定位的に組織を摘出します。
すなわち、PCNSLでは、全摘出する必要はなく、あくまで病理診断をすることが手術の目的になります。治療は、現時点では、RMVPという治療が世界では主流となっています。
RMVPとは、R:リツキシマブ、M:メトトレキセート、V:ビンクリスチン、P:プロカルバジンの頭文字をとったものです。1週間これらの薬剤を投与し、その後休薬し、また投与とこれを5回繰り返す治療です。以前は、放射線治療も組み合わせていましたが、高齢の患者が多く、放射線治療そのものも認知機能低下させる影響があるので、現時点では、当科では併用はしておりません。
聴神経腫瘍(前庭神経鞘腫)
前庭神経という体のバランスをとっている神経の周囲を囲んでいる鞘(ミエリンと呼びます)から発生した腫瘍です。基本的には、良性の腫瘍です。良性ですので、急速には大きくはなりませんが、時間をかけてゆっくり増大します。そのため症状が出たときには、とても大きな腫瘍まで成長していることもあります。
症状は、耳鳴り、聴力低下、めまいなど、増大した腫瘍になりますと、ふらつき、歩行障害、意識障害が出現します。
診断は、MRIです。特に造影MRIで診断が可能です。
聴神経腫瘍のMRIです。
40歳代の方々で、ふたりともふらつきで受診されました。
術後は、お元気に退院されました。

・治療
脳幹を圧迫している場合には、手術が大原則です。大きな腫瘍の場合には、髄液の流れが悪くなり水頭症を起こしていることもありその場合には、脳室・腹腔短絡術といい、脳室に貯まった髄液を腹腔に流してあげる手術を行うこともあります。腫瘍が小さい場合、かならずしも手術で取ることが一番ではありません。先ほどもお話しましたが、基本的には良性の腫瘍ですので、定期的なMRIで経過観察するのも一つです。また3㎝以下の腫瘍ではガンマナイフ治療を選択するのも一つです。当科では、患者さまの希望を最大限お聞きし、医学的立場から最善の治療を一緒に決定しております。














